Monokotyledonen - Datenbank anatomischer Bilder

0081-0084 Bolboschoenus planiculmis

First Collector NA
Collection Date 2013-09-19
Country Czech Republic
Province NA
Latitude NA
Longitude NA
Altitude 430
Habitat Perennial, pond, hill zone.

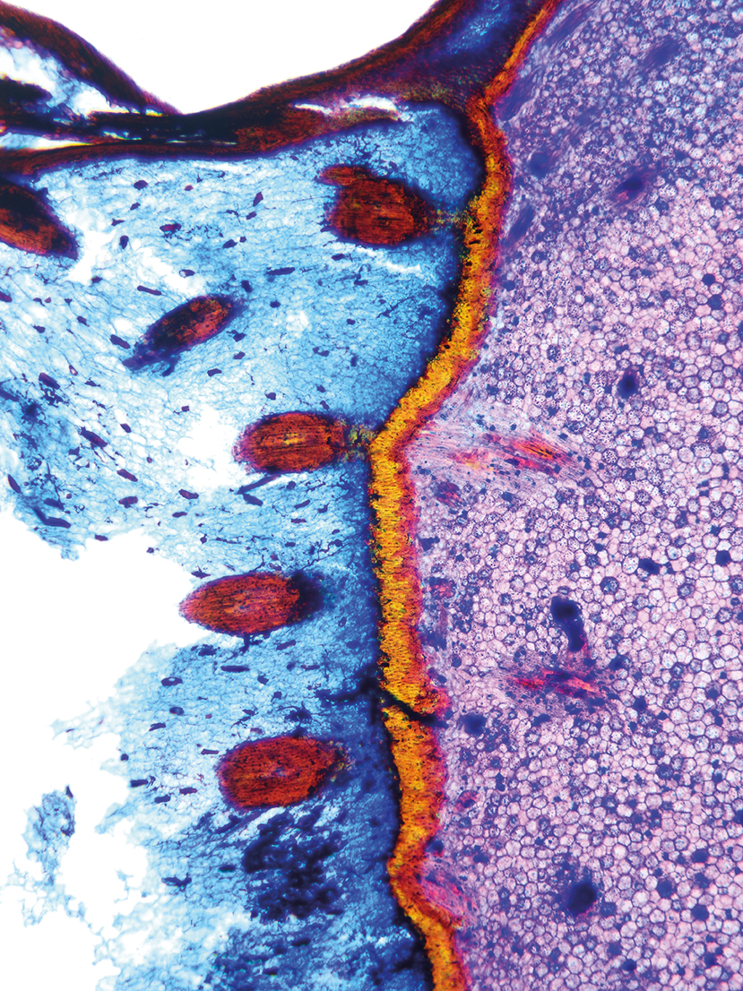
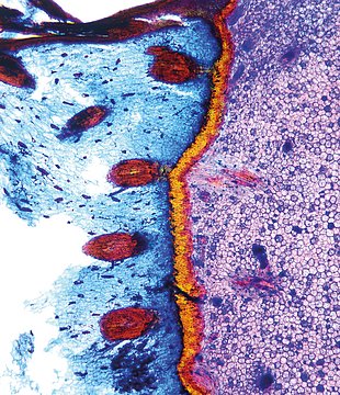
Anatomical description of culm

Culm-diameter 5-10 mm, center full, radius of culm in relation to wall thickness 1:1. Outline circular with a smooth surface. Culm-center full, containing unlignified cells. Without cortex/stele separation. Endodermis absent. Epidermis cells thin-walled a

Anatomical description of rhyzom

Rhizome diameter 5-10 mm, Rhizome center full, containing unlignified cells. Endodermis absent.With cortex/central cylinder separation. Endodermis present. Endodermis as a sclerenchymatic belt. Cells in the cortex round. Vascular bundles in the cortex abs

< Back