Monokotyledonen - Datenbank anatomischer Bilder

0588-0593 Carex capitata

First Collector NA
Collection Date 2013-05-31
Country Czech Republic
Province Boehemia
Latitude NA
Longitude NA
Altitude 430
Habitat Perennial, pond, hill zone.

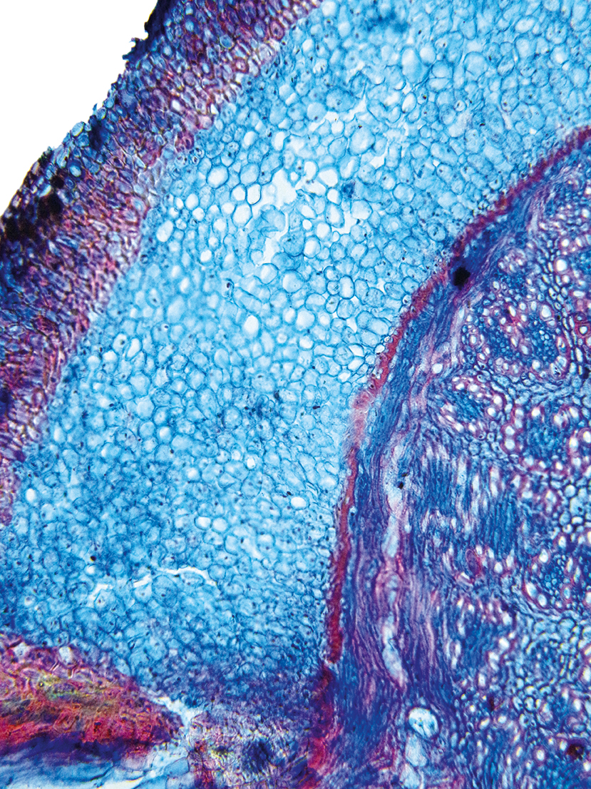
Anatomical description of culm

wall large, radius of culm in relation to wall thickness approximately 1: 0.5. Outline circular wavy. Culm-center hollow and surrounded by many large thin-walled, not lignified cells. Center with net-like aerenchyma (stellate). Epidermis cells inside thin

Anatomical description of rhyzom

Rhizome diameter 1-1.99 mm, Rhizome center full, containing unlignified cells. Endodermis absent.With cortex/central cylinder separation. Endodermis present. Endodermis cells u-shaped, thick walled. Cells in the cortex round. Vascular bundles in the cort

< Back