Monokotyledonen - Datenbank anatomischer Bilder

0261-0266 Carex depauperata

First Collector Curtis ex Stokes
Collection Date 2011-05-04
Country Italy
Province VeneTicinoa
Latitude NA
Longitude NA
Altitude 30
Habitat Perennial, dry meadow, hill zone.

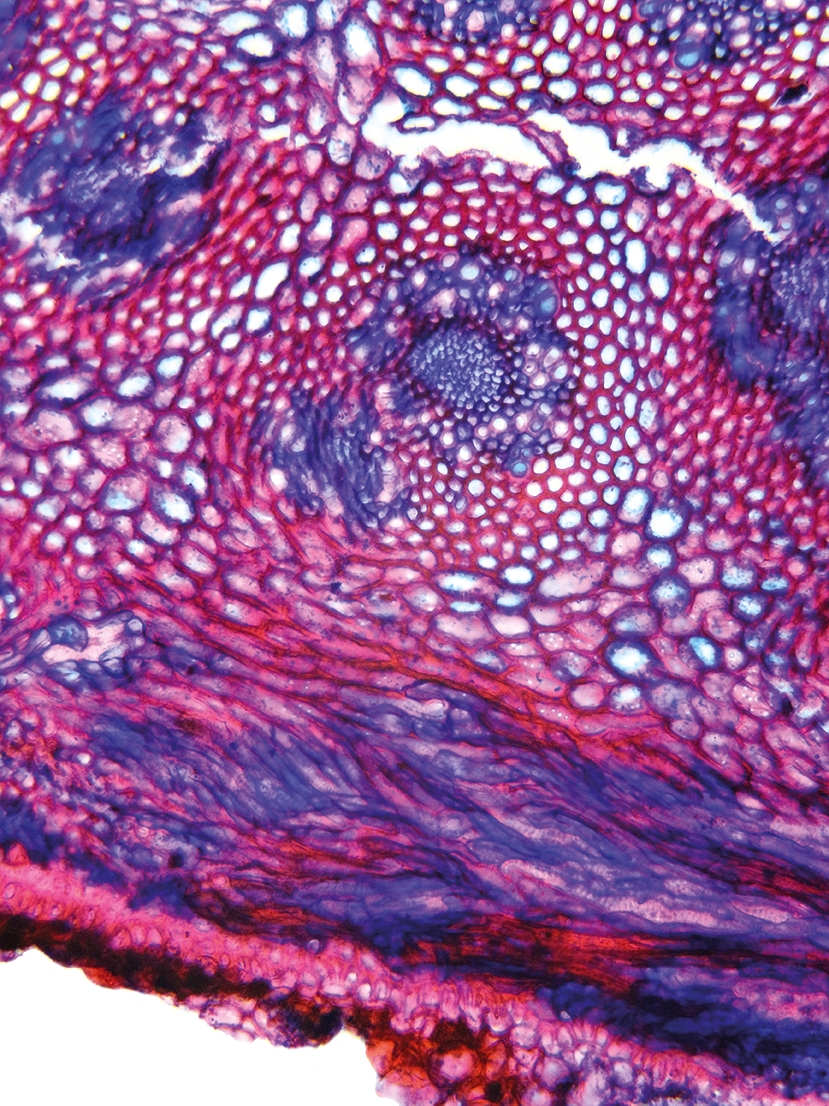
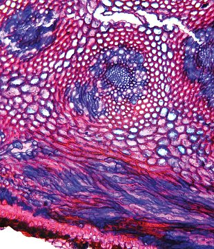
Anatomical description of culm

Culm-diameter 1-2 mm, wall very large, radius of culm in relation to wall thickness approximately 1: 0.75. Outline triangular, obtusely. Culm-center hollow and surrounded by many large thin-walled, not lignified cells. Center with net-like aerenchyma (ste

Anatomical description of rhyzom

Rhizome diameter 2-4.99 mm, Rhizome center full, containing lignified cells. Endodermis indistinct. Cells in the cortex round. Vascular bundles in the cortex absent. Vascular bundles in central cylinde dispersed arranged. Vascular bundles concentric, phlo

< Back