Monokotyledonen - Datenbank anatomischer Bilder

0285-0289 Carex distans L.

First Collector L.
Collection Date 2010-06-09
Country Switzerland
Province Argovia
Latitude NA
Longitude NA
Altitude 380
Habitat Perennial. Wet meadow, hill zone.

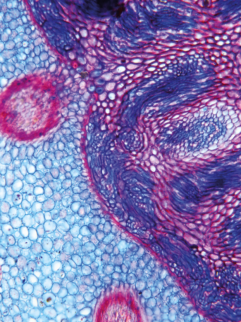
Anatomical description of culm

Culm-diameter 1-2 mm, wall very large, radius of culm in relation to wall thickness approximately 1: 0.75. Otline triangular, obtusely. Culm-center hollow and surrounded by many large thin-walled, not lignified cells. Center with net-like aerenchyma (stel

Anatomical description of rhyzom

Rhizome diameter 2-4.99 mm, Rhizome center full, containing lignified cells. Endodermis absent.With cortex/central cylinder separation. Endodermis present. Endodermis cells u-shaped, thick walled. Cells in the cortex round. Vascular bundles in the cortex

< Back