Monokotyledonen - Datenbank anatomischer Bilder

0296-0301 Carex divulsa Stokes

First Collector Stokes
Collection Date 2011-05-03
Country Italy
Province VeneTicinoa
Latitude NA
Longitude NA
Altitude 5
Habitat Perennial. dry meadow, hill zone.

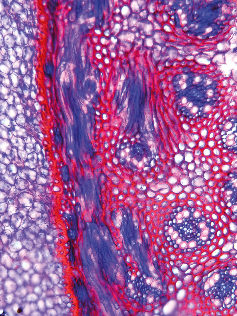
Anatomical description of culm

Culm-diameter 1-2 mm, wall large, radius of culm in relation to wall thickness approximately 1: 0.5. Otline triangular, obtusely. Culm-center hollow and surrounded by many large thin-walled, not lignified cells. Center with net-like aerenchyma (stellate).

Anatomical description of rhyzom

Rhizome diameter 2-4.99 mm, Rhizome center full, containing lignified cells. Endodermis absent.With cortex/central cylinder separation. Endodermis present. Endodermis cells u-shaped, thick walled. Cells in the cortex round. Vascular bundles in the cortex

< Back