Monokotyledonen - Datenbank anatomischer Bilder

0312-0315 Carex ericetorum Pollich

First Collector Pollich
Collection Date 1911-05-19
Country Italy
Province Trento
Latitude NA
Longitude NA
Altitude 1350
Habitat Perennial. Dry meadow, mountain zone

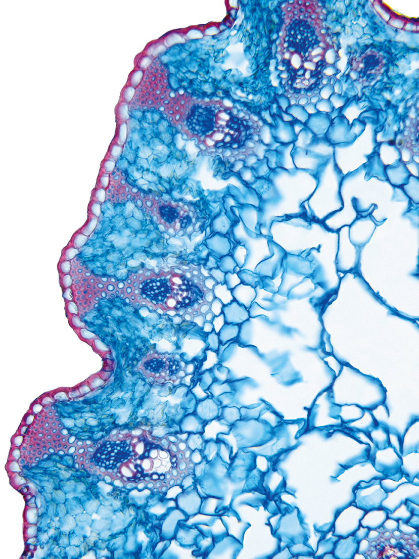
Anatomical description of culm

Culm-diameter 0.5-1 mm, center full, radius of culm in relation to wall thickness 1:1. Otline triangular, acutely. Culm-center full, containing unlignified cells. Center with net-like aerenchyma (stellate). Epidermis cells inside thin, peripheral thicker

Anatomical description of rhyzom

Rhizome diameter 2-4.99 mm, Rhizome center full, containing unlignified cells. Endodermis absent.With cortex/central cylinder separation. Endodermis present. Endodermis cells u-shaped, thick walled. Vascular bundles in the cortex present. Vascular bundles

< Back