Monokotyledonen - Datenbank anatomischer Bilder

0316-0319 Carex ferruginea

First Collector NA
Collection Date 2011-05-29
Country Switzerland
Province Nidwalden
Latitude NA
Longitude NA
Altitude 1750
Habitat Perennial. Moist meadow, subalpine zone.

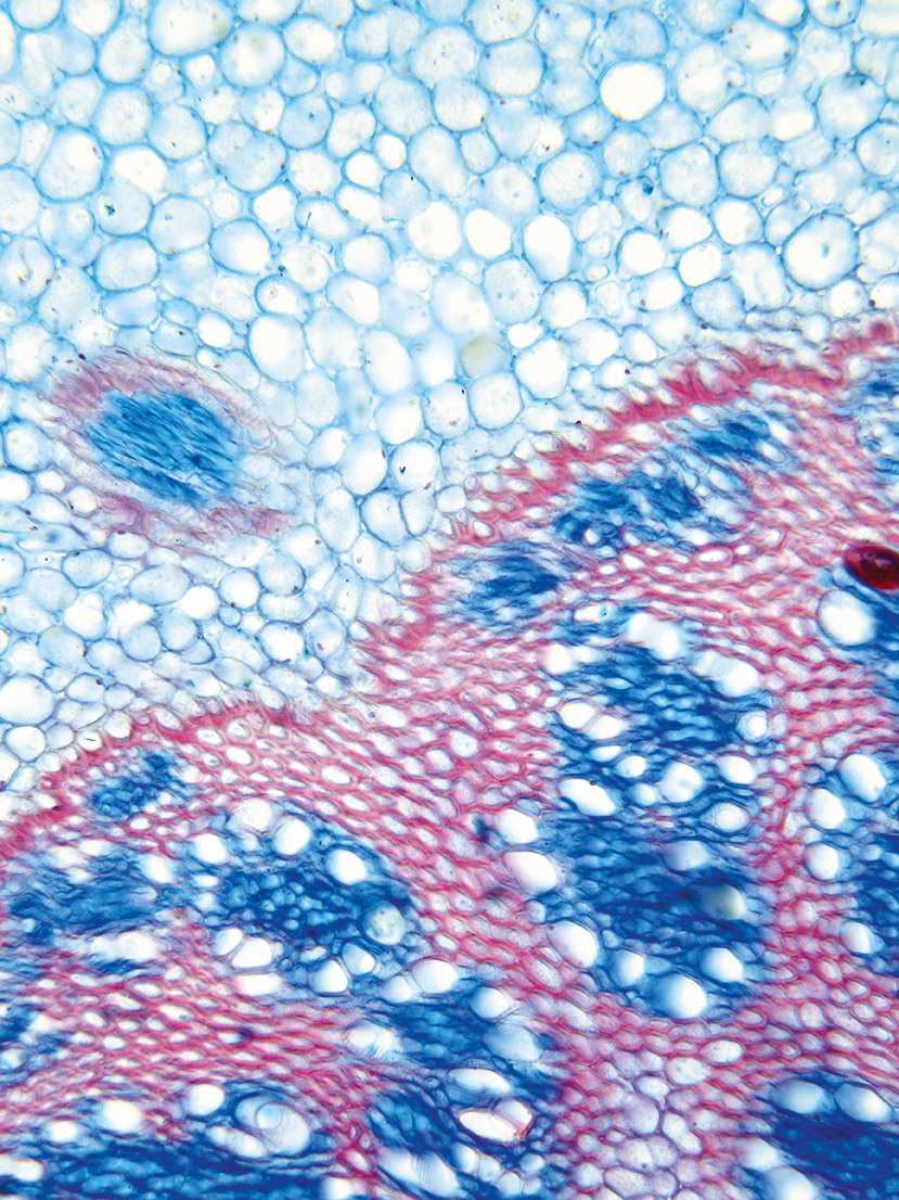
Anatomical description of culm

Culm-diameter 1-2 mm, wall very large, radius of culm in relation to wall thickness approximately 1: 0.75. Outline circular with a smooth surface. Culm-center hollow and surrounded by many large thin-walled, not lignified cells. Epidermis cells thick-wall

Anatomical description of rhyzom

Rhizome diameter 2-4.99 mm, Rhizome center full, containing lignified cells. Endodermis absent.With cortex/central cylinder separation. Endodermis present. Endodermis cells u-shaped, thick walled. Vascular bundles in the cortex present. Vascular bundles i

< Back