Monokotyledonen - Datenbank anatomischer Bilder

0324-0327 Carex firma

First Collector NA
Collection Date 2011-05-29
Country Switzerland
Province Nidwalden
Latitude NA
Longitude NA
Altitude 2250
Habitat Perennial. Shadowy meadow, subalpine zone.

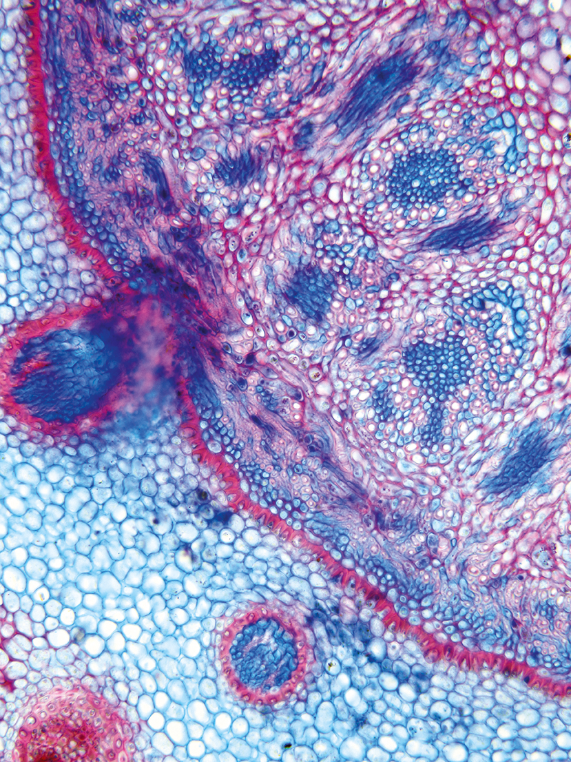
Anatomical description of culm

Culm-diameter 0.5-1 mm, center full, radius of culm in relation to wall thickness 1:1. Otline triangular, acutely. Culm-center full, containing unlignified cells. Center with net-like aerenchyma (stellate). Epidermis cells inside thin, peripheral thicker

Anatomical description of rhyzom

Rhizome diameter 1-1.99 mm, Rhizome center full, containing lignified cells. Endodermis absent.With cortex/central cylinder separation. Endodermis present. Endodermis cells u-shaped, thick walled. Cells in the cortex round. Vascular bundles in the cortex

< Back