Monokotyledonen - Datenbank anatomischer Bilder

0600-0605 Carex hartmannii

First Collector NA
Collection Date 2013-05-31
Country Czech Republic
Province Boehemia
Latitude NA
Longitude NA
Altitude 430
Habitat Perennial, pond, hill zone.

Anatomical description of culm

Culm-diameter 1-2 mm, wall large, radius of culm in relation to wall thickness approximately 1: 0.5. Otline triangular, acutely. Culm-center hollow and surrounded by many large thin-walled, not lignified cells. Center with net-like aerenchyma (stellate).

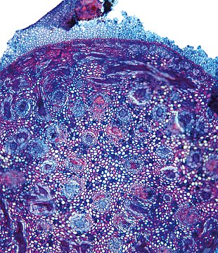
Anatomical description of rhyzom

Rhizome diameter 5-10 mm, Rhizome center full, containing unlignified cells. Endodermis absent.With cortex/central cylinder separation. Endodermis present. Endodermis cells u-shaped, thick walled. Cells in the cortex round. Vascular bundles in the cortex

< Back