Monokotyledonen - Datenbank anatomischer Bilder

0396-0399 Carex limosa L.

First Collector L.
Collection Date 2010-06-05
Country Germany
Province BrandenbUrig
Latitude NA
Longitude NA
Altitude 20
Habitat Perennial. Wet meadow, hill zone.

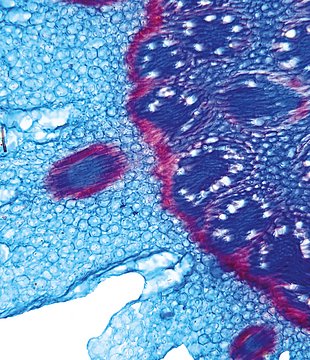
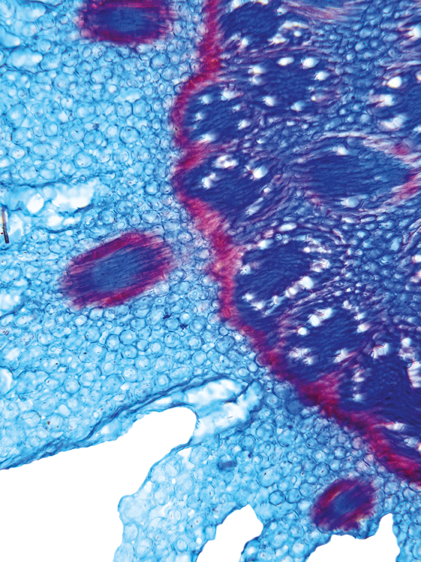
Anatomical description of culm

Culm-diameter 0.5-1 mm, wall very large, radius of culm in relation to wall thickness approximately 1: 0.75. Otline triangular, obtusely. Culm-center hollow and surrounded by many large thin-walled, not lignified cells. Center with net-like aerenchyma (st

Anatomical description of rhyzom

Rhizome diameter 2-4.99 mm, Rhizome center full, containing unlignified cells. Endodermis absent.With cortex/central cylinder separation. Endodermis present. Endodermis cells thick walled all around. Cells in the cortex round. Vascular bundles in the cort

< Back