Monokotyledonen - Datenbank anatomischer Bilder

653098 Carex oederi

First Collector Lustyk,P.
Collection Date 2012-07-08
Country Russian Federation
Province Kemerovskaya Oblast'
Latitude 54.579366667°
Longitude 85.371719444°
Altitude 211
Habitat Calcareous fen

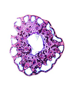
Anatomical description of culm

Cross-section with exeptional shape. Outline wavy. Culm center hollow. Recognizable epidermis cells. Peripheral sclerenchymatic stabilisation structure (girders) rectangular. Large vascular bundles in one row. Solitary large vascular bundles. Vascular bun

Anatomical description of leaf

Outline wavy. Upper epidermis cells in one row. Vascular bundles centered between the upper and lower side of the leaf. Girders extending from the vascular bundle to the lower side of the leaf.

< Back