Monokotyledonen - Datenbank anatomischer Bilder

0437-0440 Carex ovalis =leporina Good

First Collector Good
Collection Date 2011-06-02
Country Germany
Province Thüringen
Latitude NA
Longitude NA
Altitude 750
Habitat Perennial. Wet meadow, hill zone.

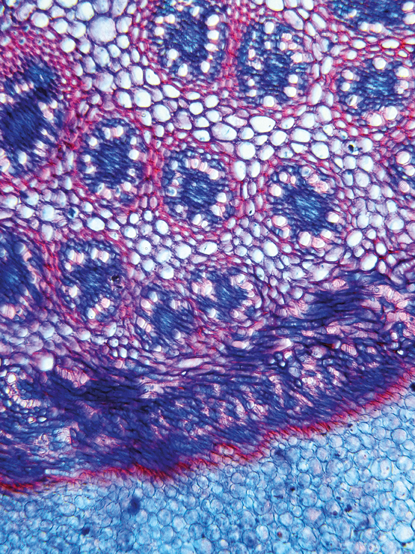
Anatomical description of culm

Culm-diameter 1-2 mm, wall thin, radius of culm in relation to wall thickness approximately 1: 0.25 or < 0.25. Otline triangular, obtusely. Culm-center hollow and surrounded by a few thin-walled, not lignified cells. Center with net-like aerenchyma (stell

Anatomical description of rhyzom

Rhizome diameter 2-4.99 mm, Rhizome center full, containing lignified cells. Endodermis absent.With cortex/central cylinder separation. Endodermis present. Endodermis cells u-shaped, thick walled. Cells in the cortex round. Vascular bundles in the cortex

< Back