Monokotyledonen - Datenbank anatomischer Bilder

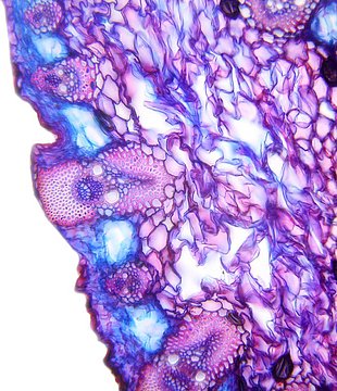
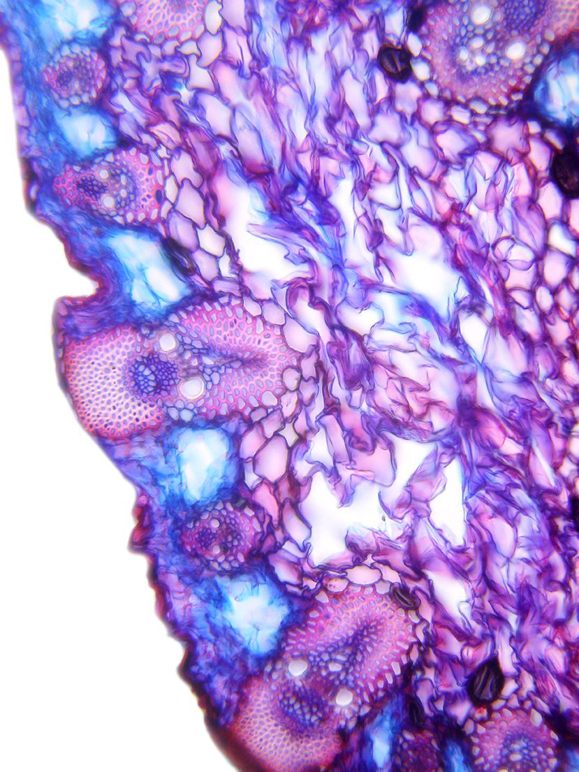
653887 Carex physodes

First Collector Danihelka,J.
Collection Date 2014-07-05
Country Kazakhstan
Province Zhambyl
Latitude 45.496388889°
Longitude 73.494111111°
Altitude 430
Habitat Artemisia-Amaranthaceae desert

Anatomical description of culm

Cross-section round. Outline wavy. Culm center with net-like parenchyma cells (aerenchyma). Recognizable epidermis cells. Peripheral sclerenchymatic stabilisation structure (girders) rectangular. Large vascular bundles in one row. Vascular bundles integra

Anatomical description of leaf

Outline wavy. Upper epidermis cells in several rows. Vascular bundles near the lower side of the leaf. Girders extending from the vascular bundle to the lower side of the leaf.

< Back