Monokotyledonen - Datenbank anatomischer Bilder

0481-0484 Carex pseudocyperus L.

First Collector L.
Collection Date 2010-06-14
Country Switzerland
Province Argovia
Latitude NA
Longitude NA
Altitude 380
Habitat Perennial. wetmeadow, hill zone.

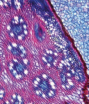
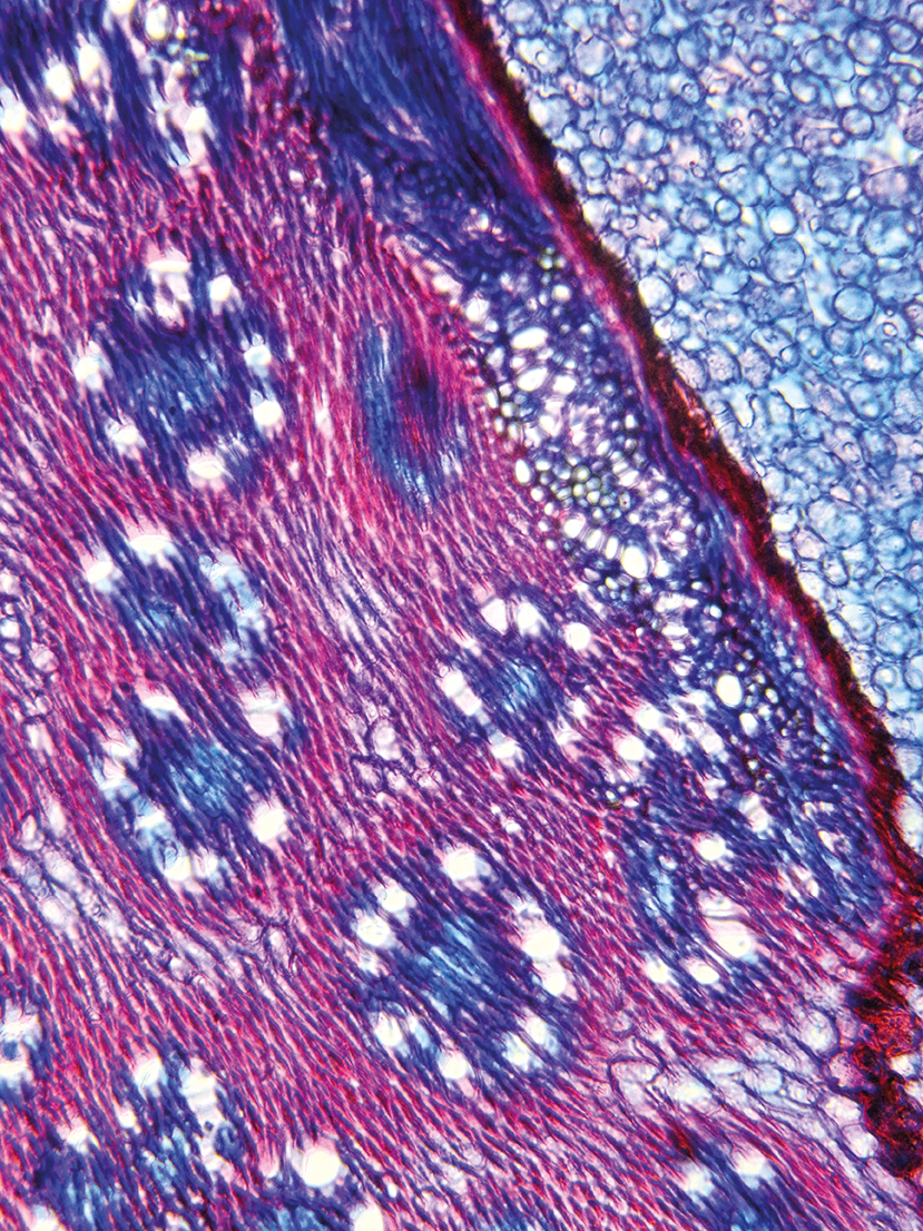
Anatomical description of culm

Culm-diameter 2-5 mm, center full, radius of culm in relation to wall thickness 1:1. Otline triangular, acutely. Culm-center full, containing unlignified cells. Center with net-like aerenchyma (stellate). Epidermis cells inside thin, peripheral thicker-wa

Anatomical description of rhyzom

Rhizome diameter 2-4.99 mm, Rhizome center full, containing lignified cells. Endodermis absent.With cortex/central cylinder separation. Endodermis present. Endodermis as a sclerenchymatic belt. Cells in the cortex round. Vascular bundles in the cortex pre

< Back