Monokotyledonen - Datenbank anatomischer Bilder

0519-0522 Carex supina

First Collector NA
Collection Date 1962-07-27
Country Italy
Province Vintschgau
Latitude NA
Longitude NA
Altitude 750
Habitat Perennial. steppe, subalpine zone.

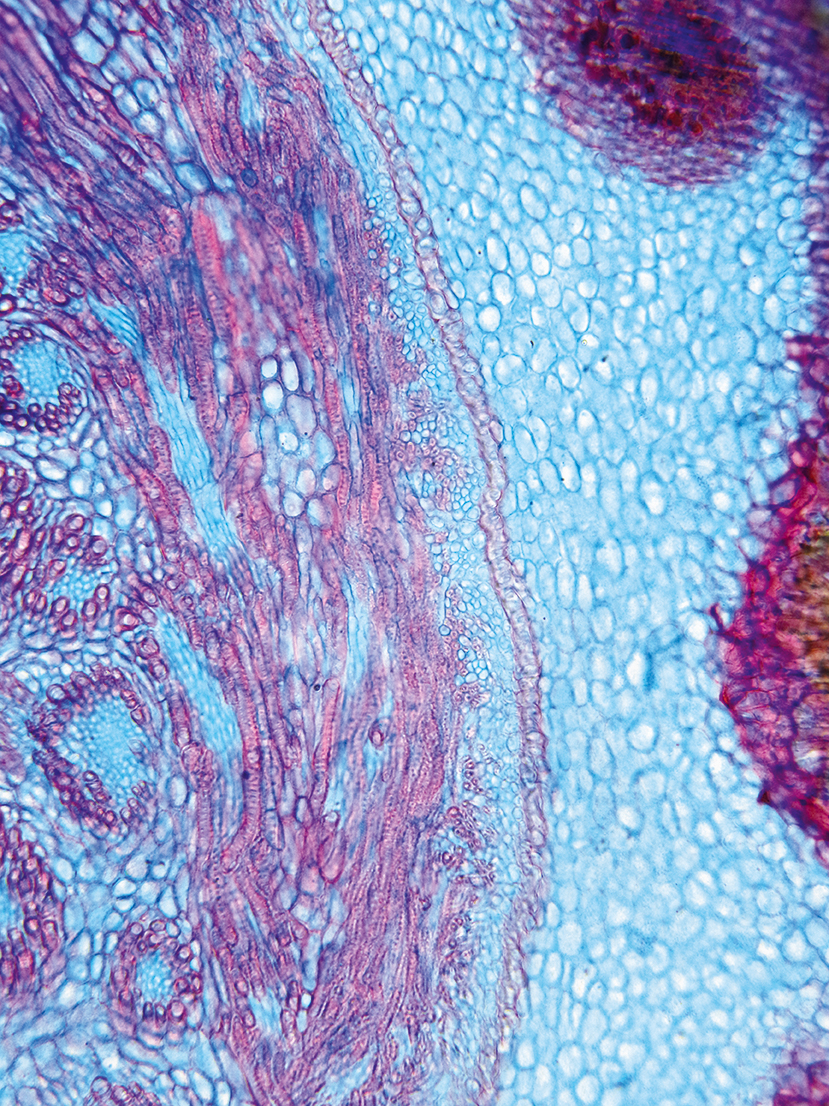
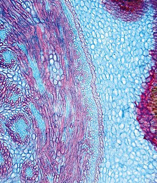
Anatomical description of culm

Culm-diameter 0.5-1 mm, wall large, radius of culm in relation to wall thickness approximately 1: 0.5. Otline triangular, acutely. Culm-center hollow and surrounded by a few thin-walled, not lignified cells. Center with net-like aerenchyma (stellate). Epi

Anatomical description of rhyzom

Rhizome diameter 2-4.99 mm, Rhizome center full, containing unlignified cells. Endodermis absent.With cortex/central cylinder separation. Endodermis present. Endodermis cells thick walled all around. Cells in the cortex round. Vascular bundles in the cort

< Back