Monokotyledonen - Datenbank anatomischer Bilder

378-379 Typha laxmanii Lepech

First Collector NA
Collection Date NA
Country Czech Republic
Province Bohemia
Latitude NA
Longitude NA
Altitude 430
Habitat Helophyte, 100- 150 cm, pond, at lower altitude

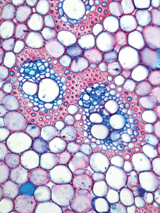
Anatomical description of culm

Culm-diameter 5-10 mm, center full, radius of culm in relation to wall thickness 1:1. Outline circular with a smooth surface. Culm-center full, containing unlignified cells. Epidermis smooth. Epidermis cells thin-walled all around. Chlorenchyma present, c

< Back