|
echo $results['FAMILY']['0']; ?> |
||
|
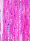
Morphology N, 2-4m Ecology on limestone rock Chorology S-European Xylem Distinct rings, semi-ring porous, vessels in short radial multiples, simple perforation, vessel diameter <40-70 µm, fibers with small pits, with septate fibers, indistinct parenchyma, rays 1to 3 cells in width, all cells upright, crystals absent. Xylem-Code Phloem Uniform cortex, distinct ray dilatations, with oil ducts. Explanations For explanations please see the Feature Characteristics. | Cross section Tangential section Radial section Bark | |
|
© 2005 WSL - F. Schweingruber, W. Landolt, last update 18.11.2010 |
||