|
echo $results['FAMILY']['0']; ?> |
||
|
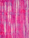
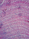
Morphology C 20-40 cm Ecology hill and mountain zone, medium site Chorology Mediterranean Xylem Distinct rings, semi-ring porous, vessels solitary, simple perforation, vessel diameter <30-50 µm, fibers with large pits, paratracheal parenchyma, rays 1to 2 cells in width, all cells upright, crystals absent. Xylem-Code Phloem Uniform cortex, distinct ray dilatations, with oil ducts. Explanations For explanations please see the Feature Characteristics. | Cross section Tangential section Radial section Bark | |
|
© 2005 WSL - F. Schweingruber, W. Landolt, last update 18.11.2010 |
||