|
echo $results['FAMILY']['0']; ?> |
||
|
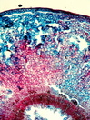
Morphology H, 10 - 40cm Ecology hill and mountain zone, medium site Chorology European Xylem Distinct rings, vessel solitary, simple perforation, vessel diameter 15-25µm, round intervessel pits, fibers thin-to thick-walled, indistinct and marginal parenchyma, unisedrate rays, homocellular rays width upright cells. Xylem-Code Phloem Indistinct ray dilatations, with lactifers. Large cortex consisting on thin-walled parenchyma cells. . Explanations For explanations please see the Feature Characteristics. | Cross section Bark | |
|
© 2005 WSL - F. Schweingruber, W. Landolt, last update 18.11.2010 |
||