|
echo $results['FAMILY']['0']; ?> |
||
|
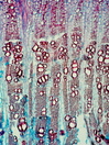
Morphology C, 20-40 cm Ecology mediterranean Chorology S-European Xylem Distinct rings, semi-ring- porous, vessel in clusters and short radial multiples, simple perforation, vessel diameter 30-50µm, round intervessel pits, fibers thick walled, (much tension wood) parenchyma irregular from indistinct to pervasive, 2-3 seriate, homocellular rays upright cells. Xylem-Code Phloem Phloem with groups of sieve tubes, with ray dilatations, with lactifers and a few isolates sclereids. Explanations For explanations please see the Feature Characteristics. | Cross section Tangential section Radial section Bark | |
|
© 2005 WSL - F. Schweingruber, W. Landolt, last update 18.11.2010 |
||