|
echo $results['FAMILY']['0']; ?> |
||
|
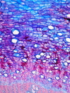
Morphology N 80-200 cm Ecology arid zone Chorology Arabia SW-Africa Xylem Indistinct rings, vesselsolitary and and short radial multiples, simple perforation, vessel diameter 30-50µm, scalariform intervessel pits, scalariform vessel-ray pits, fibers thick-to thin- walled,ofgten in tangential bands, parenchyma paratracheal and pervasive , uniseriate, homocellular rays upright cells. Xylem-Code Phloem Phloem with groups of sieve tubes, with lactifers. Explanations For explanations please see the Feature Characteristics. | Cross section Tangential section Radial section Bark | |
|
© 2005 WSL - F. Schweingruber, W. Landolt, last update 18.11.2010 |
||