Morphology

H, 30-100cm

Ecology

Foothills, montane, medium site

Chorology

Eurasian, North American

Xylem

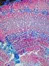
Indistinct rings, vessels solitary and in groups, tangential rows of vessels, vestured pits, tangential bands with thick walled fibers, paratracheal parenchyma, intra annual bands of parenchyma, rayless in cross-section, rayless, sometimes, few large rays.

Xylem-Code

See annex

Phloem

Indistinct tangential layers of collapsed sieve cells, tangential groups of sclerenchymatic groups, radial rows of parenchyma cells, distinct ray dilatations, groups of sclereids in primary bark.

Remarks

Cross section:
Tangential section:
Radial section:
Bark:

RĂ© Centovalli, Italy

Explanations

For explanations please see the Feature Characteristics.

Cross section
    
Tangential section
 
Radial section
 
Bark
 

© 2005 WSL - F. Schweingruber, W. Landolt, last update 18.11.2010