|
echo $results['FAMILY']['0']; ?> |
||
|
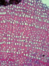
Morphology Z, 30-50 cm Ecology hill and mountain zone, dry site Chorology W-Asia Xylem Distinct rings, semi-ring-porous, vessel solitary simple perforation, vessel diameter 30-50µm, round intervessel pits, fibers thin-to thick-walled, (with tension wood) rare apotracheal parenchyma, round a vessel-ray pits, uniseriate, homocellular upright cells. Xylem-Code Phloem Simple structured phloem.Without lactifers. Explanations For explanations please see the Feature Characteristics. | Cross section Tangential section Radial section Bark | |
|
© 2005 WSL - F. Schweingruber, W. Landolt, last update 18.11.2010 |
||