|
echo $results['FAMILY']['0']; ?> |
||
|
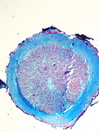
Morphology H, 5-10 cm Ecology subalpine, alpine, medium site Chorology W-Alps Xylem Distinct rings, diffuse porous, vessels solitary, simple perforations, intervessel pits scalariform, vessel diameter 20 ¿ 25 µm, thick walled vessels, parenchyma pervasive, rayless, crystals absent Xylem-Code Phloem Uniform phloem and cortex. Crystals absent. Explanations For explanations please see the Feature Characteristics. | Cross section Tangential section Radial section Bark | |
|
© 2005 WSL - F. Schweingruber, W. Landolt, last update 18.11.2010 |
||