|
echo $results['FAMILY']['0']; ?> |
||
|
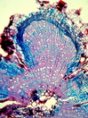
Morphology H, 5-10 cm Ecology hill and mountain zone, wet site Chorology Eurosiberian Xylem Distinct rings, diffuse porous, vessels solitary, simple perforations, intervessel pits round, vessel diameter 20 ¿ 25 µm, parenchyma rare or not to recognize, crystals absent. Lobed stem. Xylem-Code Phloem Uniform phloem and cortex. Crystals absent. Explanations For explanations please see the Feature Characteristics. | Cross section Tangential section Bark | |
|
© 2005 WSL - F. Schweingruber, W. Landolt, last update 18.11.2010 |
||