|
echo $results['FAMILY']['0']; ?> |
||
|
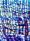
Morphology N, 1,5 -3m Ecology Tilia forests Chorology S-European Xylem Distinct rings, diffuse porous, latewood zone with a small zone of thick-walled fibers. earlywood vessels solitary, simple perforations, vessel diameter 3-50µm, with helical thickenings, fibers with large pits, with septate fibers, axial parenchyma rare or apotracheal, rays uniseriate wit prostrate cells, crystals absent.. Xylem-Code Phloem Distinct tangential (annual?) layers of parenchyma and sieve tubes. Sieve tubes collapsed in older rings. Without sclerenchyma. Large ray dilatations. Large crystal druses in ray dilatations and small druses in tangential parenchyma cells. Explanations For explanations please see the Feature Characteristics. | Cross section Tangential section Radial section Bark | |
|
© 2005 WSL - F. Schweingruber, W. Landolt, last update 18.11.2010 |
||