Morphology

T, H. 30cm

Ecology

Alpine, ruderal medium site

Chorology

Colorado, North American

Xylem

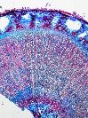
Distinct rings diffuse porous, vessels in long radial multiples, tangential rows of vessels, paratracheal parenchyma, thin walled marginal parenchyma, ray width 3-4 cells.

Xylem-Code

See annex

Phloem

No tangential layers of collapsed sieve cells, radial rows of parenchyma cells, very distinct ray dilatations, radial groups of sclereids in primary bark.

Remarks

Cross section:
Tangential section:
Radial section:
Bark:

Summitville, Colorado, USA

Explanations

For explanations please see the Feature Characteristics.

Cross section
  
Tangential section
 
Radial section
 

© 2005 WSL - F. Schweingruber, W. Landolt, last update 18.11.2010