|
echo $results['FAMILY']['0']; ?> |
||
|
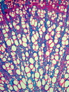
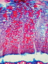
Morphology H, 10 - 30cm Ecology mountain and subalpine dry meadow Chorology Rocky Mountains Xylem Distinct rings, semi-ring-porous, vessels in groups, vessels fairly thick-walled, simple perforations, round to scalariform intervessel pits, vessel diameter 40-70 µm, parenchyma paratracheal to pervasive, ray width 3-6 cells, with sheet cells, homocellular, prostrate cells, ray cells unlignified, crystals absent. Xylem-Code Phloem With sieve tube groups, with ray dilatations, irreguar radial rows of sclerenchyma cells, crystals absent. Explanations For explanations please see the Feature Characteristics. | Cross section Tangential section Bark | |
|
© 2005 WSL - F. Schweingruber, W. Landolt, last update 18.11.2010 |
||