|
echo $results['FAMILY']['0']; ?> |
||
|
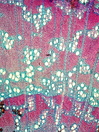
Morphology Z, 30-50 cm Ecology hill dry meadow Chorology S-European Xylem Distinct rings, semi-ring-porous, vessels grouped in diagonal and dendritic patterns, simple perforations, with helical thickenings, vessel diameter >30-70µm, with dark staining substances,fibers thin to tick-walled, parenchyma vasicentric and terminal, ray width 1-3 (4) cells , homocellular procument, crystals absent. Xylem-Code Phloem With dilatations, and tangential blocks of sclerenchyma cells. Explanations For explanations please see the Feature Characteristics. | Cross section Tangential section Bark | |
|
© 2005 WSL - F. Schweingruber, W. Landolt, last update 18.11.2010 |
||