|
echo $results['FAMILY']['0']; ?> |
||
|
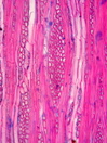
Morphology Z, 30-50 cm Ecology hill dry meadow Chorology S-European Xylem Distinct rings, semi-ring-porous, vessels diagonal, simple perforations, vessel diameter 40 – 50µm, with helical thickenings, with vestured intervessel pits, fibers thick-walled, parenchyma vasicentric and terminal, ray width 2 -5 cells, heterocellular with a few square cells. Xylem-Code Phloem With ray dilatations, with tangential blocks of sclerenchyma cells. Explanations For explanations please see the Feature Characteristics. | Cross section Tangential section Radial section Bark | |
|
© 2005 WSL - F. Schweingruber, W. Landolt, last update 18.11.2010 |
||