|
echo $results['FAMILY']['0']; ?> |
||
|
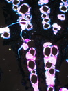
Morphology H, 10 - 40cm Ecology hill and mountain dunes Chorology North America Xylem Distinct rings, semi-ring-porous, vessels solitary or in small groups, simple perforations, vessel diameter 100-150µm, , with scalariform intervessel pits, fibers thick-walled, parenchyma vasicentric, and pervasive, ray width 3-6-3 cells, homocellular with square cells storied parenchyma, prismatic crystals in lateral ray cells. Xylem-Code Phloem Radial strips of collapsed sieve cells, ray dilatations, tangentially arranged groups of sclereids, a few small prismatic crystals. Explanations For explanations please see the Feature Characteristics. | Cross section Tangential section Radial section Bark | |
|
© 2005 WSL - F. Schweingruber, W. Landolt, last update 18.11.2010 |
||