|
echo $results['FAMILY']['0']; ?> |
||
|
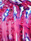
Morphology H, 10 - 40cm Ecology subalpine and alpine meadow Chorology Eurosiberian Xylem Distinct rings, semi-ring-porous, vessels solitary and in small groups, simple perforations, vessel diameter 30 – 60µm, scalariform intervessel pits, fibers thick-walled fibers in small groups, parenchyma vasicentric and pervasive, unlignified rays with 4-8 cells in width, with sheet cells, with sheet cells, homocellular with square and upright cells, with prismatic crystals. Xylem-Code Explanations For explanations please see the Feature Characteristics. | Cross section | |
|
© 2005 WSL - F. Schweingruber, W. Landolt, last update 18.11.2010 |
||