Morphology

H, 10 - 30cm

Ecology

boreal steppe

Chorology

Siberean

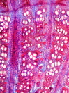
Xylem

Distinct rings, semi-ring-porous, vessels solitary and in small groups, simple perforations, vessel diameter 30 – 60µm, scalariform intervessel pits, fibers thick-walled fibers in small groups, parenchyma vasicentric and pervasive, unlignified rays with 4-8 cells in width, with sheet cells, with sheet cells, homocellular with square and upright cells, with prismatic crystals.

Xylem-Code

See annex

Phloem

With ray dilatations, tangentially arranged small irregular groups of sclerenchyma cells, with prismatic crystals around the fiber groups.

Explanations

For explanations please see the Feature Characteristics.

Cross section
   
Tangential section
 
Radial section
  
Bark
  

© 2005 WSL - F. Schweingruber, W. Landolt, last update 18.11.2010