|
echo $results['FAMILY']['0']; ?> |
||
|
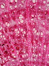
Morphology H, 40 - 80cm Ecology subalpine and alpine Pinus canariensis forest Chorology S-European Xylem Distinct rings, semi-ring-porous, vessels groups arranged in tangential patterns, simple perforations, vessel diameter 30 – 50µm, round intervessel pits, fibers thick-walled, parenchyma vasicentric and apotracheal, rays with 5-12 cells in width, heterocellular with many square and upright cells, prismatic crystals in rays. Xylem-Code Phloem With ray dilatations, scattered sclerenchyma cells, many prismatic crystals. Explanations For explanations please see the Feature Characteristics. | Cross section Tangential section Bark | |
|
© 2005 WSL - F. Schweingruber, W. Landolt, last update 18.11.2010 |
||