|
echo $results['FAMILY']['0']; ?> |
||
|
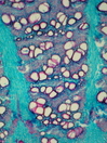
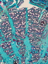
Morphology H, 10 - 30cm Ecology hill and mountain volcanic rock Chorology W-American Xylem Distinct rings, ring-porous, vessels in small groups, simple perforations, vessel diameter 60 – 90µm, round intervessel pits, fibers thick-walled, parenchyma vasicentric and marginal, rays with 10-20 cells, with sheet cells, heterocellular with many square and upright cell, with prismatic crystals in rays. Xylem-Code Phloem tangential oriented groups of sclerenchyma cells. Explanations For explanations please see the Feature Characteristics. | Cross section Tangential section Radial section Bark | |
|
© 2005 WSL - F. Schweingruber, W. Landolt, last update 18.11.2010 |
||