|
echo $results['FAMILY']['0']; ?> |
||
|
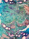
Morphology H, 10 - 40cm Ecology mountain and subalpine volcanic ash Chorology W-American Xylem Indistinct rings, vessels in groups, simple perforations, vessel diameter 40-50µm, scalariform and round intervessel pits, fibers thick-walled, parenchyma vasicentric and marginal, rays with 10-20 cells, with sheet cells, homocellular with prostrate cells, Xylem-Code Phloem Tangential oriented groups of sclerenchyma cells. Explanations For explanations please see the Feature Characteristics. | Cross section Tangential section Bark | |
|
© 2005 WSL - F. Schweingruber, W. Landolt, last update 18.11.2010 |
||