|
echo $results['FAMILY']['0']; ?> |
||
|
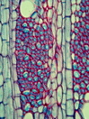
Morphology H, 40 - 80cm Ecology hill and mountain ruderal, dry site Chorology Eurasian Xylem Only one ring, vessels solitary and in radial multiples tangentially arranged, simple perforations, vessel diameter 50-70µm, with vestured intervessel pits, scalariform and round intervessel-pits, fibers thick-walled, parenchyma vasicentric and pervasive, ray width 5-12 cells, with sheet cells, heterocellular with many rows of square cells. With prismatic crystals around the rays. Xylem-Code Phloem With ray dilatations, with isolated sclerenchyma cells, with prismatic crystals. Explanations For explanations please see the Feature Characteristics. | Cross section Tangential section Radial section Bark | |
|
© 2005 WSL - F. Schweingruber, W. Landolt, last update 18.11.2010 |
||