|
echo $results['FAMILY']['0']; ?> |
||
|
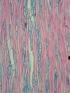
Morphology T, 30-40cm Ecology mediterranean coast abandonned land Chorology cosmopolitean Xylem Only one ring, vessels in radial multiples and groups tangentially arranged, simple perforations, vessel diameter 30-50µm, with vestured intervessel pits, round intervessel-pits, fibers thick-walled, parenchyma vasicentric ray width 2-4 cells, homocellular with square and upright cells. Xylem-Code Phloem With ray dilatations, with isolated sclerenchyma cells, with prismatic crystals. Explanations For explanations please see the Feature Characteristics. | Cross section Tangential section Bark | |
|
© 2005 WSL - F. Schweingruber, W. Landolt, last update 18.11.2010 |
||