|
echo $results['FAMILY']['0']; ?> |
||
|
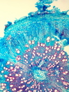
Morphology H, 10 - 40cm Ecology mountain and subalpine Abies forest Chorology SW-european Xylem Only one ring, vessels in short radial multiples, simple perforations, vessel diameter 40-50µm, with vestured intervessel pits, round intervessel-pits, thick-walled unlignified fibers, parenchyma mainly vasicentric, ray width 1-3 cells, homocellular with square and upright cells.. Xylem-Code Phloem With ray dilatations, radial strips of sieve tubes. With a few round groups of sclerenchyma. Explanations For explanations please see the Feature Characteristics. | Cross section Tangential section Radial section Bark | |
|
© 2005 WSL - F. Schweingruber, W. Landolt, last update 18.11.2010 |
||