|
echo $results['FAMILY']['0']; ?> |
||
|
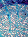
Morphology H, 10 - 40cm Ecology mountain zone Chorology SW-european Xylem Distinct rings, semi-ring-porous, many thick-walled vessels in groups, simple perforations, earlywood vessel diameter 50-80µm, with vestured intervessel pits, round and scalariform intervessel-pits, fibers rare, few thick-walled fibers, parenchyma mainly vasicentric, apotracheal, ray width 5-15 cells, with sheet cells, homocellular with square and upright cells. With a few prismatic crystals along large rays. Xylem-Code Phloem With ray dilatations, tangential rows of collapsed sieve tubes and sclereids. Explanations For explanations please see the Feature Characteristics. | Cross section Tangential section Radial section Bark | |
|
© 2005 WSL - F. Schweingruber, W. Landolt, last update 18.11.2010 |
||