|
echo $results['FAMILY']['0']; ?> |
||
|
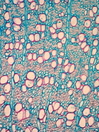
Morphology Z, 30-50 cm Ecology hill and mountain ruderal, dry site Chorology SW-european montane Xylem Distinct rings, semi-ring-porous, vessels in groups, tangentially arranged, simple perforations, vessel diameter 40-50µm, with vestured intervessel pits, round intervessel-pits, fibers thick-walled, parenchyma vasicentric, apotracheal in tangential aggregates, ray width 2-3-8 cells, heterocellular with a few rows of square cells. Xylem-Code Phloem Radial arranged groups of sclerenchyma cells, with a few prismatic crystals. Explanations For explanations please see the Feature Characteristics. | Cross section Tangential section Radial section | |
|
© 2005 WSL - F. Schweingruber, W. Landolt, last update 18.11.2010 |
||