|
echo $results['FAMILY']['0']; ?> |
||
|
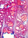
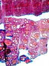
Morphology H, 10 - 30cm Ecology boreal garden Chorology Siberean Xylem Distinct rings, semi-ring-porous, solitary, thick-walled vessels, simple perforations, earlywood vessel diameter 40-70µm, round and scalariform intervessel-pits, thick-walled fibers in groups, parenchyma mainly vasicentric, ray width 3-4 cells, unlignified, homocellular with square and upright cells. Xylem-Code Phloem With ray dilatations, tangential rows of sclereids. Explanations For explanations please see the Feature Characteristics. | Cross section | |
|
© 2005 WSL - F. Schweingruber, W. Landolt, last update 18.11.2010 |
||