|
echo $results['FAMILY']['0']; ?> |
||
|
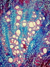
Morphology H, 10 - 30cm Ecology hill and mountain volcanic ash Chorology W-American Xylem Indistinct rings, vessels in diagonal patterns, simple perforations, vessel diameter 80-150 µm, with helical thickenings, , fibers thin- to thick-walled, parenchyma paratracheal vasicentric ray width 2-3 seriate, partially vascular bundles remaining,homocellular with square cells. Xylem-Code Phloem Between rays with ray dilatations uniform phloem and cortex. With a few prismatic crystals and laticifers. Explanations For explanations please see the Feature Characteristics. | Cross section Tangential section Radial section Bark | |
|
© 2005 WSL - F. Schweingruber, W. Landolt, last update 18.11.2010 |
||