|
echo $results['FAMILY']['0']; ?> |
||
|
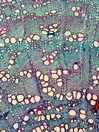
Morphology H, 10 - 30cm Ecology mountain and subalpine Pinus ponderosa forest Chorology W-American Xylem Distinct rings, vessels in diagonal patterns, simple perforations, vessel diameter 40 – 70µm, with vestured intervessel pits, fibers thick-walled, parenchyma vasicentric, ray width 2-3 cells, homocellular with square and upright cells. Xylem-Code Phloem With tangential bands of collapsed sieve-tubes, and small round groups of sclerenchyma cells Explanations For explanations please see the Feature Characteristics. | Cross section Tangential section Radial section Bark | |
|
© 2005 WSL - F. Schweingruber, W. Landolt, last update 18.11.2010 |
||