|
echo $results['FAMILY']['0']; ?> |
||
|
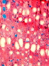
Morphology H, 5 - 10 cm Ecology subalpine and alpine Chorology Arctic-Alpine Xylem Distinct rings, semi-ring porous, vessels solitary, simple perforation, vessel diameter 20-40 µm, fibers with large pits, fibers thin-to thick-walled, parenchyma apotracheal, rays uniseriate, all cells upright, crystals absent. Xylem-Code Phloem Uniform cortex, multilayered periderm with regular arranged cells. Explanations For explanations please see the Feature Characteristics. | Cross section Tangential section Bark | |
|
© 2005 WSL - F. Schweingruber, W. Landolt, last update 18.11.2010 |
||