|
echo $results['FAMILY']['0']; ?> |
||
|
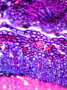
Morphology p, 3-5 m Ecology hill and mountain meadow Chorology E-European W-Asian Xylem Distinct rings, diffuse porous, vessels solitary, simple perforation, vessel diameter 30-50 µm, fibers with large pits, with thin helical thickenings, fibers thick-walled, parenchyma apotracheal, rays biseriate, mostly homocellular with prostrate cells. Xylem-Code Phloem With sclereids, with prismatic crystals, multilayered periderm with regular arranged cells. Explanations For explanations please see the Feature Characteristics. | Cross section Tangential section Radial section Bark | |
|
© 2005 WSL - F. Schweingruber, W. Landolt, last update 18.11.2010 |
||