|
echo $results['FAMILY']['0']; ?> |
||
|
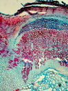
Morphology H, 5 - 10 cm Ecology subalpine and alpine Chorology S-European mountain Xylem Distinct rings, semi-ring porous, vessels solitary and thick-walled, simple perforation, vessel diameter 30-50 µm, fibers absent, parenchyma variable: pervasive or apotracheal, rays partially absent and locally very large (radial parenchyma zones) crystal druses in parenchyma cells.. Xylem-Code Phloem Uniform cortex, with crystal druses, multilayered periderm with regular arranged cells. Explanations For explanations please see the Feature Characteristics. | Cross section | |
|
© 2005 WSL - F. Schweingruber, W. Landolt, last update 18.11.2010 |
||