|
echo $results['FAMILY']['0']; ?> |
||
|
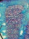
Morphology H, 5 - 10 cm Ecology hill and mountain dry medow Chorology European Xylem Distinct rings, semi-ring porous, vessels solitary and thick-walled, simple perforation, mostly with scalariform intervessel pits, vessel diameter 15-30 µm, fibers absent, parenchyma pervasive, rays absent. Vascular bundle form remaining, rays with crystal druses. Xylem-Code Phloem Uniform cortex, with crystal druses, multilayered periderm with regular arranged cells. Explanations For explanations please see the Feature Characteristics. | Cross section | |
|
© 2005 WSL - F. Schweingruber, W. Landolt, last update 18.11.2010 |
||