|
echo $results['FAMILY']['0']; ?> |
||
|
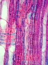
Morphology N 80-200 cm Ecology arid desert Chorology W-North America Xylem Distinct rings, semi-ring porous, vessels solitary, simple perforation, vessel diameter 30-50µm, fibers with large pits, fibers thin- to thick-walled, parenchyma apotracheal, rays uni and biseriate, homocellular with prostrate cells. Xylem-Code Phloem With phloem and a few larger parenchyma cells, compressed sieve tubes in tangential strips, sclerenchyma cells in irregular tangential rows, with crystal druses, multilayered periderm with regular arranged cells. Explanations For explanations please see the Feature Characteristics. | Cross section Tangential section Radial section Bark | |
|
© 2005 WSL - F. Schweingruber, W. Landolt, last update 18.11.2010 |
||