|
echo $results['FAMILY']['0']; ?> |
||
|
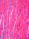
Morphology c, 3-10 cm Ecology subalpine and alpine, boreal Chorology arctic-alpin Xylem Distinct rings, diffuse porous, vessels solitary, simple perforation, intervessel pitting round, alternating, vessel diameter 15-20 µm, fibers thick-walled, parenchyma difficult to recognize and partially marginal, uniseriate and multiseriate, all cells upright, without crystals, vascular bundle form remaining, pith with crystal druses. Xylem-Code Phloem Uniform phloem, multilayered periderm with regular arranged cells. Explanations For explanations please see the Feature Characteristics. | Cross section Tangential section Radial section Bark | |
|
© 2005 WSL - F. Schweingruber, W. Landolt, last update 18.11.2010 |
||